- In this section:
- Request an Ingenio sample
- Ingenio citations
Mirus Bio offers a full range of electroporation products, including; Ingenio® Electroporation Solution, electroporation cuvettes, and the new Ingenio® EZporator® Electroporation System ideal for mammalian and insect cell transfection. These products are designed for high efficiency delivery to hard-to-transfect cells without the cost or complication of other systems.
Benefits of using the Ingenio Electroporation Solution
• High efficiency electroporation of hard-to-transfect cells including primary and stem cells
• Compatible with most conventional electroporation devices including the Ingenio EZporator, Lonza-Amaxa®, Bio-Rad® and Harvard BTX®
• Cost savings using the Ingenio Electroporation Kits on existing Amaxa® Nucleofector® without sacrificing performance
• One year shelf life
• Available as a solution or as part of a kit with cuvettes and cell droppers
Ingenio outperforms other transfection reagents in efficiency and viability

Cells were electroporated with an EGFP reporter vector using either Ingenio® Electroporation Solution, PBS or Gene Pulser® Electroporation Buffer (Bio-Rad®) on the Gene Pulser Xcell™ Eukaryotic System. (A) EGFP expressing cells were identified 24h post-electroporation by FC and presented as a percentage of live cell population. (B) Cells were assayed for viability by propidium iodide staining and FC. Experiments were performed in triplicate on three separate days and the data averaged.
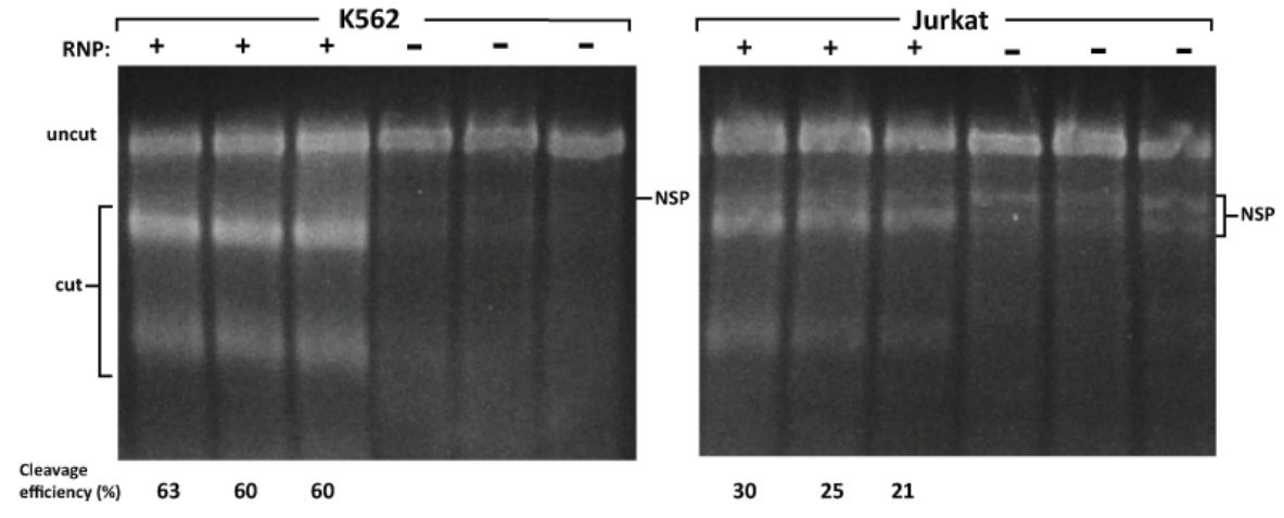
CRISPR RNP delivery with Ingenio electroporation solution

K562 and Jurkat cells were electroporated with a Cas9 protein/gRNA, ribonucleoprotein (RNP) complex, composed of 750 nM Cas9 protein (EnGen® Cas9 NLS, NEB) and 1500 nM pre-complexed two-part gRNA (IDT) targeting PPIB using the Ingenio Electroporation Solution and a Gene Pulser Xcell™ Eukaryotic System. Exponential pulse conditions of 130V, 950 µF for K562 and 150V, 950 µF for Jurkat cells were applied to triplicate 0.2 cm cuvettes, 100 µl volume, 10 x 106 cells/ml +/- RNP complex. A T7E1 mismatch assay was used to measure cleavage efficiency at 48h post-transfection. Nonspecific bands (NSP) were observed in the negative control of both cell lines. Cleavage efficiency was calculated based on the ratio of cleaved band intensities to the sum of cleaved and uncleaved band intensities minus the average signal of the nonspecific band(s) in negative control lanes.
High efficiency plasmid DNA electroporation of human induced pluripotent stem (iPS) cells using Ingenio

The Ingenio® Electroporation Kit was used to transfect 2 x 106 iPS cells on the Amaxa® Nucleofector® II Device. Cells were electroporated with 8 µg ZsGreen expressing plasmid (Clontech) in 100 µl and plated in 6-well plates at 0.33 x 106 cells/well. Cells were visualised 24 hours post-transfection and imaged under 4X objective with an Olympus IX71® Inverted Microscope. Images are (A) phase contrast, and (B) green fluorescence. Cells were also assayed 24 hours post-transfection on an Accuri® Cytometer. The histogram (C) shows unelectroporated cells (black line) compared to cells electroporated with plasmid using the Ingenio Electroporation Kit (green line). See more information on stem cell applications. Data courtesy of Cellular Dynamics International.
High efficiency electroporation with the Ingenio EZporator Electroporation System

High efficiency electroporation with the Ingenio EZporator Electroporation System. Jurkat E6-1 (A), K562 (B), Raji (C), or Raw 264.7 (D) cells were electroporated with an EGFP reporter plasmid at various voltages using the Ingenio® Electroporation Solution (Mirus Bio) and the Ingenio EZporator Electroporation System (Mirus Bio) using either 0.2 cm or 0.4 cm electroporation cuvettes. The percentage of GFP positive cells (bar) and viability (dot) using propidium iodide was determined by flow cytometry at 48 hours post-electroporation.
Material available for download
Ingenio Electroporation Kits and Solution protocol
Ingenio Electroporation Kits and Solution quick ref protocol
Ingenio Electroporation Kits and Solution SDS
Ingenio pulse condition recommendations
Electroporation of human induced pluripotent stem (iPS) cells with Ingenio Electroporation Solution
CRISPR RNP electroporation protocol
EZporator System technical specifications
EZporator Electroporation System user manual
Ingenio Electroporation Kits and Solution citation list
Free samples
Request a free sample of Ingenio
Bio-Rad® & Gene Pulser® are registered trademarks & Gene Pulser Xcell™ is a trademark of Bio-Rad Laboratories, Inc.
Lonza-Amaxa® is a registered trademark of amaxa AG
Harvard BTX® is a registered trademark of Harvard Bioscience, Inc.
Nucleofector® is a registered trademark owned by Lonza Cologne AG, part of the Lonza Group.
Products
Note: product availability depends on country - see product detail page.
